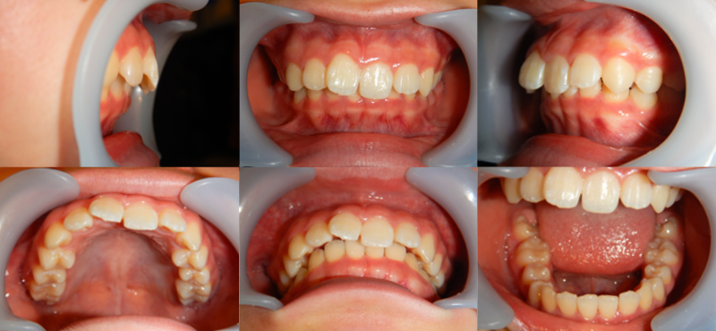
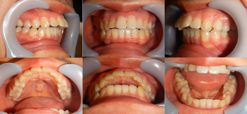
症例紹介
「出っ歯」の矯正症例
インビザライン開始
▸
インビザライン終了
▸
保定中
| 主訴 | 出っ歯 |
|---|---|
| 診断名 | 開咬傾向を伴う上顎前突 |
| 年齢/性別 | 24歳 女性 |
| 治療法/装置名 | インビザライン、機能的矯正装置 |
| 抜歯部位 | 上顎両側第1小臼歯 |
| 治療期間 | インビザラインによる動的処置期間は約1年3か月、保定は機能的矯正装置併用によりさらに緊密な咬合獲得を目指す。 |
| 治療費用 | 総額:754,600円(税込) |
| リスク/副作用 |
歯の移動に伴う痛み。歯肉退縮。歯根吸収。歯髄壊死。顎関節症。口腔清掃に留意する必要性あり。 歯と骨の骨性癒着(アンキローシス)がある場合歯が動かない可能性がある。 装置装着の協力度不足、悪習癖(舌 唇 頬 指 呼吸 姿勢 等)残存等により、治療結果不良や、後戻りが有り得る。 |
「出っ歯」の矯正症例(小児矯正)
治療前
▸
治療後保定中
| 主訴 | 出っ歯 |
|---|---|
| 診断名 | 過蓋咬合を伴う上顎前突 |
| 年齢/性別 | 13歳 女性 |
| 治療法/装置名 | 機能的矯正装置 |
| 抜歯部位 | 非抜歯 |
| 治療期間 | 機能的矯正装置により動的処置および保定を行っている。写真は初診時と約1年4ヶ月経過後である。 |
| 治療費用 | 総額:333,300円(税込)(約1年4ヶ月経過時) |
| リスク/副作用 |
歯の移動に伴う痛み。歯肉退縮。歯根吸収。歯髄壊死。顎関節症。口腔清掃に留意する必要性あり。 歯と骨の骨性癒着(アンキローシス)がある場合歯が動かない可能性がある。 装置装着の協力度不足、悪習癖(舌・唇・頬・指・呼吸・姿勢 等)残存等により、治療結果不良や後戻りが生じる可能性がある。 |